| +371 67242470 | +371 22007796 |
[email protected]
Home
About us
Services
Bioesthetics
Dental Hygiene Services
Endodontics
Implantology
Parodontology
Prosthetics
Surgery
Teeth Whitening
Topics
Dr. Butkevica’s Book
Our works
Reviews
E-consultation
Contacts
Galleries from surgeries
Butkevica Dental
/
Galleries from surgeries
Galleries from surgeries
Dr. Butkevicas surgery
Extension of the bone
Dr. Butkevica surgery
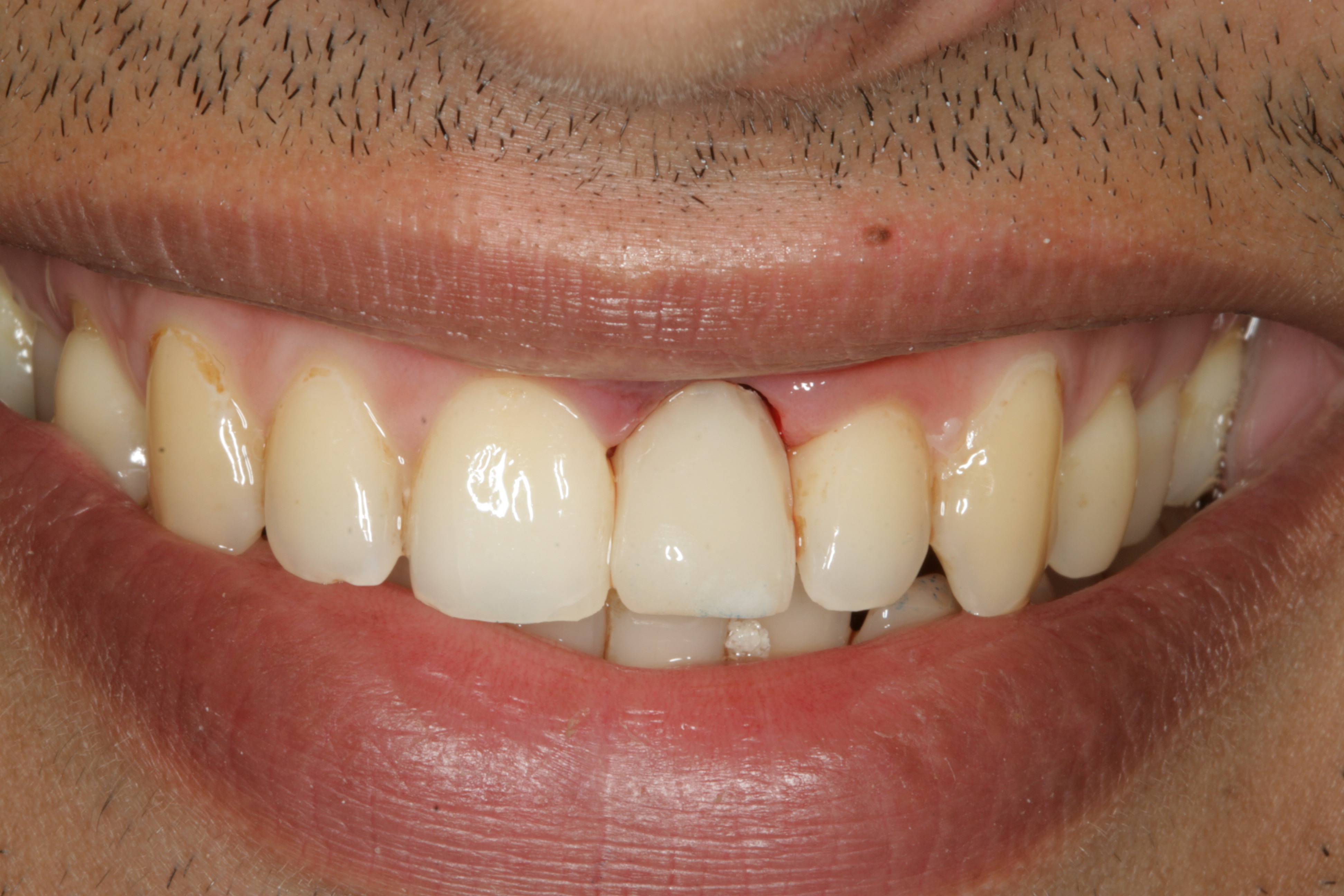
The broken root of the tooth is replaced by an implant in the anterior region of the upper jaw